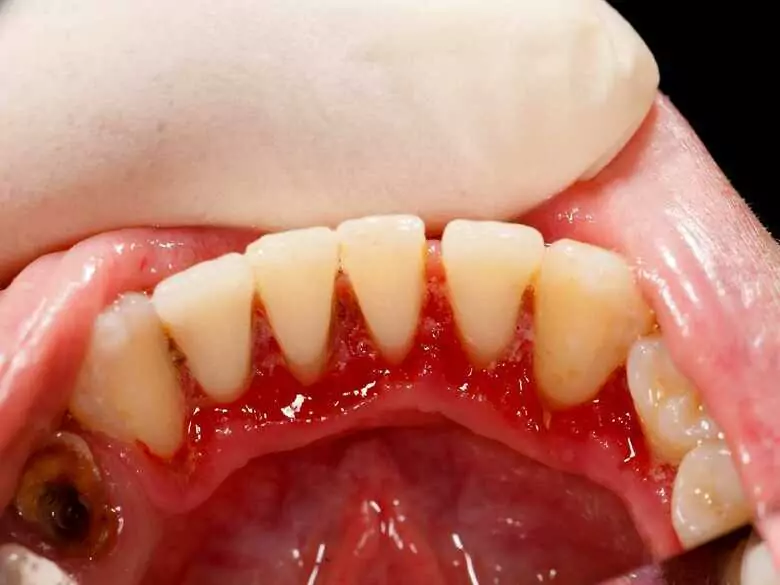
Objawy białaczki bywają różnorodne i zaliczane do nich bywają m.in. spadek apetytu, męczliwość i osłabienie odporności, ale i krwawienia z dziąseł. Ostatni z wymienionych problemów zazwyczaj dość zadziwia pacjentów – dlaczego osoby z białaczką miewają krwawiące dziąsła i jakie jeszcze zmiany w jamie ustnej mogą się pojawiać w przebiegu tej choroby?
Reklama:





